Fonsecaea pedrosoi est une espèce fongique de la famille des Herpotrichiellaceae. C'est le principal agent causal de la chromomycose. Elle se trouve dans les régions tropicales et subtropicales, notamment en Amérique du Sud, où elle pousse comme saprotrophe du sol.
Taxonomie
Fonsecaea est un genre de champignons ascomycètes de la famille des Herpotrichiellaceae. Le genre comprend trois espèces, toutes potentiellement pathogène pour l'humain : F. Pedrosoi, F. monophora et F. Nubie.
Fonsecaea pedrosoi a été formellement décrite pour la première fois en 1922 sous le nom d'Hormodendrum pedrosoi par le parasitologue français Émile Brumpt. Pablo Negroni l'a transféré au genre Fonsecaea en 1936.
Ses conidiophores sont brunâtres et peu ramifiés. Ses conidies ont une forme de massue et sont disposées en chaînes courtes et non ramifiées. Un état asexué apparaît parfois avec levures à faible pH.
Écologie et distribution
Fonsecaea pedrosoi est présent dans le sol et sur les plantes et les arbres où il pousse comme saprotrophe ,,,. On le trouve principalement dans les régions tropicales, notamment en Amérique du Sud et en Amérique centrale,. Les trois espèces reconnues de Fonsecaea présentent des variations génétiques en fonction de la géographie. Les espèces étroitement apparentées F. monophora et F. nubica sont réparties dans le monde entier et présentent une plus grande diversité génétique que F. Pedrosoi. Des études environnementales réalisées par l'Entreprise Brésilienne de Recherche Agricole ont permis d'isoler F. pedrosoi sur du bois pourri de Cambara (Gochnatia polymorpha) dans une forêt à Colombo. Il a également été isolé d'arbres vivants, de souches, de tas de bois et de poteaux de clôture dans le centre du Nigeria.
Physiologie
Les isolats cliniques se développent de manière constante à des températures allant jusqu'à 35 °C, et se développent irrégulièrement jusqu'à 37 °C. Des études physiologiques ont montré que Fonsecaea pedrosoi peut réaliser la dégradation de l'urée et de la tyrosine. De même, l'activité de la lipase a été démontrée.
Maladie humaine
Fonsecaea pedrosoi est l'un des principaux agents responsables de la chromomycose humaine, une infection fongique chronique localisée sur la peau et les tissus sous-cutanés,,. La maladie a été décrite pour la première fois par Alexandrino Pedroso en 1911.
Fonsecaea pedrosoi infecte l'hôte lorsque ces conidies ou des fragments d'hyphes sont implantés sous la peau par une blessure. Une fois introduites dans les tissus sous-cutanés, les propagules germent pour établir un mycélium invasif associé à des cellules sclérotiques. Cette prolifération provoque une ulcération progressive de la peau,. Il est souvent diagnostiqué à tort comme un carcinome épidermoïde.
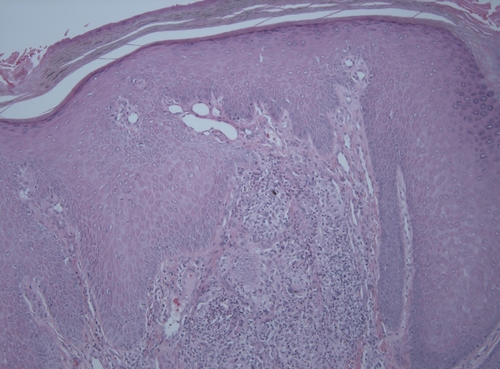
Histologie
La maladie se caractérise par l’apparition de cellules sphériques jaune brunâtre aux parois épaisses et pigmentées. La présence de l'agent est associée à une prolifération et à une hyperplasie de l'épithélium pavimenteux stratifié et à la formation de granulomes mycotiques. Les corps sclérotiques sont à la fois extracellulaires et intracellulaires. La teneur en mélanine des corps sclérotiques pourrait jouer un rôle important dans l'établissement des réponses immunitaires de l'hôte.
Facteurs de risque
Les agriculteurs d’Amérique centrale et d’Amérique du Sud sont les plus à risque de chromomycose due à F. Pedrosoi. L'infection se produit souvent sur le haut du corps et les jambes des ouvriers agricoles, car ces zones sont plus sujettes à l'exposition au sol infecté, aux débris végétaux ou à d'autres fomites.
Traitement
Les infections à F. pedrosoi sont plus difficiles à traiter que celles à F. monophore. Dans les cas graves, le traitement est assez complexe et implique une combinaison de médicaments antifongiques et d'excision chirurgicale. Des agents antifongiques comme l'itraconazole et la terbinafine sont couramment utilisés. La chirurgie est souvent utilisée pour traiter de petites infections localisées, la cryothérapie est une approche alternative. L'application topique d'amphotéricine B suivie d'une administration à long terme d'un traitement antifongique oral s'est révélée efficace dans le traitement de la chromomycose cornéenne due à F. Pedrosoi.
Références
- Portail de la parasitologie




